ISO 9001:2015 certified
 
 
Reproductive Immunology
  • N.K. cells (Blood/ Tissue)
  • Progesterone Receptor (Tissue)
  • PDF (Blood/ Tissue)
  • TNF (Blood/ Tissue)
  • Interferon g (Blood)
  • Macrophage (Tissue)
  • Latent Tuberculosis Detection (Blood)
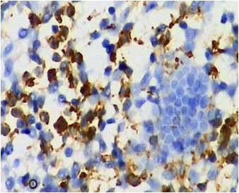
Cells showing Natural Killer (NK) cells activity Cells showing Tumor Necrosis Factor-alpha (TNF-a) activity Cells showing presence of Pregnancy Destroying Factor (PDF)
 
 
Immunology: Enhancing our Understanding What is Reproductive Immunology? History of Reproductive Immunology Diagnostic Testing: Infertility and Recurrent
           Miscarriages
Reproductive Failure: Causal Factors When to go for Immune Testing?
 
 
Home   //   About DH   //   DH Services  //   Success Stories   //   Contact DH
© 2013-17 Double Helix. All rights are reserved.
Powered By: